آمیب مغزخوار (به انگلیسی: Amoebic Encephalitis) یک بیماری نادر و جدی است که توسط یک نوع آمیب به نام Naegleria fowleri ایجاد میشود. این آمیب در آبهای شیرین گرم و خاک وجود دارد و از طریق ورود به بدن از طریق بینی میتواند به مغز حرکت کند.
ناگلریا فاولری (Naegleria fowleri) به صورت طبیعی در محیط زندگی خود وجود دارد ولی عفونتهای انسانی نادری ایجاد میکند. وقتی که این آمیب وارد بینی و سپس به سیستم عصبی مرکزی (مغز و نخاع) پیش میرود، میتواند عفونتی شدید به عنوان آمیب مغزخوار ایجاد کند. این بیماری معمولاً به صورت حاد پیش میآید و در بیشتر موارد منجر به ورم و التهاب مغز میشود که ممکن است منجر به عوارض جدی و حتی مرگ باشد.
علائم بیماری آمیب مغزخوار شامل سردرد شدید، تب، سرگیجه، تغییرات در وضعیت آگاهی، تهوع و استفراغ میشود. اگر شما یا کسی که مشکوک به این بیماری هستید این علائم را تجربه میکنید، باید به شدت به پزشک خود مراجعه کنید، زیرا بیماری آمیب مغزخوار یک وضعیت طبی اورژانسی است.
برای پیشگیری از عفونت آمیب مغزخوار، مهم است که از آبهای شیرین آلوده و گرم که محیط مناسب برای رشد این آمیب هستند، اجتناب کنید. همچنین، استفاده از کاپ و ماسک در استخرها و سوناها میتواند موثر باشد.
انجام آزمایش و چکاپ سلامتی دوره ای میتواند برای سلامتی شما مفید باشد.
راه های تشخیص بیماری آمیب مغزخوار
تشخیص بیماری آمیب مغزخوار معمولاً به وسیله ارزیابی علائم بالینی و سابقه بیماری صورت میگیرد. اما برای تأیید تشخیص و شناسایی آمیب ناگلریا فاولری، روشهای تشخیصی مختلفی نیز وجود دارد که عبارتند از:
1. بررسی نمونههای بیولوژیک: نمونههایی مانند مایع نخاعی، استفراغ، نمونههای بیوپسی از نخاع، یا از طریق تحلیل آب مغز نخاعی (CSF) جمعآوری میشوند. این نمونهها به منظور شناسایی حضور آمیب و آزمایشهای مختلف، از جمله میکروسکوپی، کشت و روشهای مولکولی مورد بررسی قرار میگیرند.
2. آزمایشهای مولکولی: از روشهای آزمایش PCR (زنجیره پلیمراز) میتواند استفاده شود تا ماده ژنتیکی آمیب را در نمونههای بیولوژیک تشخیص دهد. این روش حساس و دقیق است و میتواند به شناسایی دقیق تر آمیب بیمار کمک کند.
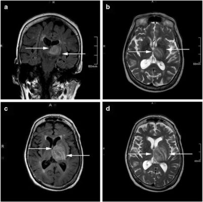
3. تصویربرداری مغز: ممکن است از روشهای تصویربرداری مغزی مانند اسکن MRI (تصویربرداری مغناطیسی هستهای) استفاده شود تا تغییرات و التهاب مغز را نشان دهد که ممکن است به علائم بیماری آمیب مغزخوار اشاره کند.
در صورت مشکوک بودن به بیماری آمیب مغزخوار، مهم است که به پزشک مراجعه کنید تا تشخیص صحیح قرار داده شود و در صورت تأیید تشخیص، درمان مناسب و به موقع را شروع کنید.
علائم رایج بیماری آمیب مغزخوار
بیماری آمیب مغزخوار ممکن است با علائم و نشانههای مختلفی همراه باشد. این علائم ممکن است در مراحل مختلف بیماری متفاوت باشند. برخی از علائم و نشانههای معمول بیماری آمیب مغزخوار عبارتند از:
1. سردرد شدید و شدید: معمولاً سردردی شدید و مزمن را تجربه میکنید که به طور مداوم وجود دارد و به درد سر و گردن افزوده میشود.
2. تب: بیمار ممکن است تب داشته باشد که معمولاً به صورت مداوم است.
3. سرگیجه و تعریق شبانه: سرگیجه و حالت تعریق شبانه ممکن است از علائم دیگر باشند.
4. تغییر در وضعیت آگاهی: شما ممکن است تغییرات در وضعیت آگاهی خود را تجربه کنید، از جمله اختلال در تمرکز، کاهش حافظه و تشتت ذهنی.
5. تهوع و استفراغ: ممکن است احساس تهوع و استفراغ داشته باشید که معمولاً ناشی از تحریک مغز است.
6. سردی در بدن: در برخی موارد، بیماران ممکن است احساس سردی در بدن یا تورم صورت داشته باشند.
7. تشدید علائم: علائم معمولاً در طول چند روز تشدید میشوند و بیمار ممکن است وضعیت بدتری داشته باشد.
در صورت تجربه هر یک از این علائم، باید به یک پزشک مراجعه کنید تا تشخیص دقیق قرار داده شود و در صورت لزوم، درمان مناسب را شروع کنید. البته باید توجه داشت که این علایم نیز ممکن است به علت بیماریهای دیگر ناشی از عفونتهای دیگری باشند، بنابراین تشخیص نهایی توسط پزشک شما قرار داده خواهد شد.
آیا بیماری آمیب مغزخوار به دیگران منتقل میشود؟
آمیب مغزخوار به طور معمول از طریق مسیرهای خاصی به دیگر افراد منتقل نمیشود. عامل اصلی انتقال بیماری آمیب مغزخوار به مغز انسان، استنشاق آمیبهای موجود در برخی خاکها و آبهای آلوده است. بنابراین، این بیماری به طور معمول از مسیر خوردن آب یا خوراک آلوده به آمیبها به بدن انسان وارد میشود.
به عنوان مثال، معمولاً برخی مناطق در برخی کشورها، بهخصوص در مناطقی با شرایط بهداشتی نامناسب، ممکن است آبهای آلوده به آمیبها وجود داشته باشد. انتقال بیماری آمیب مغزخوار معمولاً در این مناطق به وقوع میپیوندد.
در عمل، بیماری آمیب مغزخوار به صورت مستقیم از فرد به فرد به وجود نمیآید و انتقال از طریق تماس با فرد مبتلا یا از طریق راههای هوایی مانند عطسه یا سرفه نیز گزارش نشده است.
مهم است که بهداشت شخصی خود را حفظ کنید، از آب آشامیدنی تمیز و بهداشتی استفاده کنید، و از خوردن غذاها و آبی که به آنها دسترسی دارید و از جایی که شرایط بهداشتی نامناسب دارد، خودداری کنید.

چگونه میتوان از ابتلا به بیماری آمیب مغزخوار جلوگیری کرد؟
برای جلوگیری از ابتلا به بیماری آمیب مغزخوار، میتوانید اقدامات زیر را انجام دهید:
1. استفاده از آب تمیز و بهداشتی: از آب آشامیدنی تمیز و ایمن استفاده کنید. اطمینان حاصل کنید که آبی که مصرف میکنید، از منابع ایمن و تصفیه شده تامین شده است. اگر آب روستایی یا مناطقی که بهداشت ضعیفی دارند، مصرف میکنید، بهتر است از فیلتراسیون مناسب یا آب قلیایی استفاده کنید.
2. خوراک بهداشتی: مطمئن شوید که مواد غذایی که مصرف میکنید، به درستی آبکشی شده و بهداشتی هستند. مصرف میوهها و سبزیجات خام را با آب شستشو داده و غذاها را به درستی پخته کنید.
3. بهداشت شخصی: به بهداشت شخصی خود توجه کنید. دستها را به طور منظم با آب و صابون شستشو داده و پیش از خوردن غذا و بعد از استفاده از توالت، دستها را بشویید. همچنین، از خوردن غذاهایی که از منابع نامطمئن تهیه شدهاند، خودداری کنید.
4. استفاده از محافظت موثر در مسافرتها: اگر قصد سفر به مناطقی با خطر آلودگی آب و خوراک آمیب مغزخوار دارید، از محافظت موثر استفاده کنید. میتوانید از آب آشامیدنی بستهبندی شده استفاده کنید و در مورد خوراکها و مکانهای تهیه غذا احتیاط کنید.
5. رعایت بهداشت در شناختگاهها و استخرها: در صورت استفاده از استخرها یا شناختگاهها، اطمینان حاصل کنید که آب بهداشتی و تمیز است. همچنین، در صورت امکان، از استفاده از اسباببازیهای آبی مشترک خودداری کنید.
مهم است به این نکته توجه کنید که در صورت سفر به مناطقی با خطر بالای آلودگی آب، مشاوره پزشک یا متخصص سفر میتواند بسیار مفید باشد.
چگونه میتوان از آب آشامیدنی تمیز و بهداشتی استفاده کرد؟
استفاده از آب قلیایی برای آشامیدن یک موضوع مورد بحث است و نظرات متناقضی در این خصوص وجود دارد. برخی افراد معتقدند که مصرف آب قلیایی میتواند به سلامتی افراد کمک کند، در حالی که دیگران باور دارند که این موضوع علمی و پزشکی بر مبنای دلایل قوی تأیید نشده است.
دعوت از پزشک خود برای مشورت در مورد استفاده از آب قلیایی برای آشامیدن بسیار مفید است. پزشکان میتوانند با توجه به وضعیت شما، تاریخچه پزشکی، نیازهای خاص و شرایط فردی شما، نظریهها و مطالعات علمی مرتبط را بررسی کنند و راهنمایی کنند.
به طور عمومی، آب قلیایی دارای سطح pH بالاتری است که به معنای میزان قلیایی یا اسیدی بودن آب است. برخی ادعا میکنند که مصرف آب قلیایی میتواند تعادل pH بدن را تنظیم کرده و به کاهش التهاب، حفظ سلامت پوست، افزایش سطح انرژی و حمایت از سیستم ایمنی بدن کمک کند. اما تحقیقات علمی در این زمینه هنوز به شکل قاطع نتایجی را تأیید نکردهاند و بیشتر مطالعات مربوط به آب قلیایی محدود به مطالعات آزمایشگاهی و مطالعات محدود در حیوانات میباشند.
همچنین، مصرف آب قلیایی نیز نمیتواند به تنهایی جایگزینی برای رژیم غذایی سالم و سبزیجات و میوههای طبیعی باشد. بنابراین، بهتر است به جای تکیه بر آب قلیایی به عنوان راهکار اصلی، به رژیم غذایی متنوع و سالم، فعالیت بدنی منظم و مراقبت از سلامت عمومی توجه کنید.




بدون دیدگاه