بیماری پنومونی یا ذات الریه که گاها سیه پهلو هم گفته میشود، به عفونت و التهاب ریه ها اطلاق میشود. معمولاً علل عفونی در بیماری پنومونی شامل باکتریها، ویروسها، قارچها و انگلها میشوند. نوعی از پنومونی که به عفونت با باکتری با نام “Streptococcus pneumoniae” مربوط میشود، به عنوان پنومونی عروقی شناخته میشود.
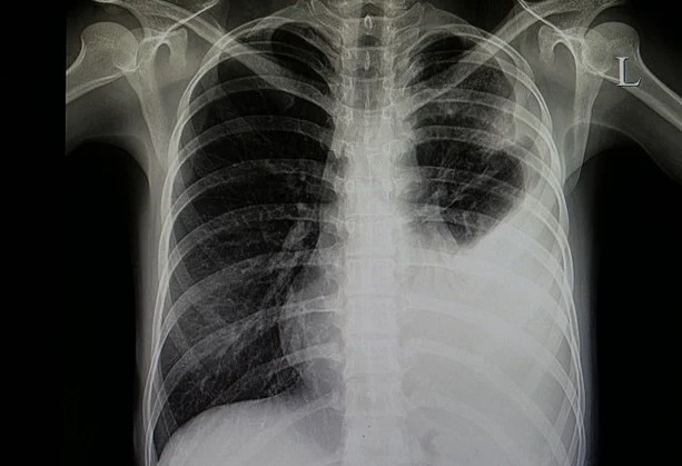
علائم بیماری پنومونی شامل تنفس سخت و سرفه با قاصدک، تب، درد در قفسه سینه، خستگی، تنگی نفس و افزایش ضربان قلب میباشد. برای تشخیص پنومونی، پزشک ممکن است از روشهای مختلفی مانند آزمایش خون، پرتونگاری سینه و یا جمع آوری نمونه از ریه استفاده کند.
درمان پنومونی ممکن است شامل مصرف آنتیبیوتیکها (در صورت عفونت باکتریایی)، آرامبخشها، آنتیویروسها (در صورت عفونت ویروسی) و مراقبتهای نواری باشد. همچنین، استفاده از واکسنهای پنومونیاکوکال و هموفیلوس در سالمندان و افراد با شرایط پایه ای بهداشتی موصوف است. مهم است که به دقت دستورات درمانی پزشک را دنبال کنید و به استراحت و مراقبت مناسب برسید.
ضروریات انجام آزمایش چکاپ کامل سلامتی در دوره های مختلف
علائم پنومونی باکتریایی یا ذات الریه
علائم پنومونی باکتریایی ممکن است شامل موارد زیر باشد:
1. تب: افزایش دمای بدن به مقدار قابل توجه، ممکن است همراه با لرزش بدن.
2. سرفه: سرفه ممکن است با یک خلط غلیظ و رنگی همراه شود. این خلط ممکن است زرد یا سبز رنگ باشد.
3. تنگی نفس: احساس دشواری در تنفس و نفس کشیدن عمیق، ممکن است حتی در استراحت و در حالت خواب رخ دهد.
4. درد در قفسه سینه: درد یا تنگی در قفسه سینه، که ممکن است تشدید شود هنگام تنفس یا سرفه.
5. خستگی و ضعف عمومی: احساس خستگی شدید، ضعف و کاهش انرژی بدن.
6. علائم عمومی: علائمی مانند سردرد، تهوع، استفراغ، اشتها نداشتن، اسهال و تعریق شبانه ممکن است نیز همراه باشند.
اگر شما یا کسی در اطرافتان علائمی شبیه به پنومونی باکتریایی دارید، مهم است که به پزشک مراجعه کنید. پزشک با بررسی علائم، انجام آزمونهای تشخیصی مانند انجام ایکس ری سینه و آزمایش خون و تشخیص صحیح، درمان مناسب را برای شما تعیین خواهد کرد.
عوارض ذات الریه یا پنومونی
عوارض ذات الریه یا پنومونی یا همان سینه پهلو ممکن است شامل موارد زیر باشد:
1. ضعف سیستم تنفسی: پنومونی باعث التهاب و عفونت در ریهها میشود و میتواند باعث آسیب به بافتهای ریه و سیستم تنفسی شود. این ممکن است منجر به کاهش عملکرد ریه، کاهش ظرفیت تنفسی و دشواری در تنفس شود.
2. کمبود اکسیژن: در پنومونی شدید، بافتهای ریه ممکن است به میزان قابل توجهی آسیب ببینند و نتوانند اکسیژن کافی را به خون منتقل کنند. این موضوع میتواند باعث کاهش سطح اکسیژن در خون (هیپوکسمی) و نیاز به مکمل اکسیژن یا توسعه عوارض جانبی مرتبط با کمبود اکسیژن شود.
3. عفونتهای ثانویه: پنومونی باعث آسیب به سیستم دفاعی بدن میشود و باعث میشود فرصت برای عفونتهای دیگر نیز افزایش یابد. عفونتهای مزمن مانند عفونت مجاری ادراری، عفونت تنفسی تکراری و عفونتهای جراحی ممکن است در افراد مبتلا به پنومونی بیشتر رخ دهد.
4. سپسیس: در برخی از موارد شدید پنومونی، عفونت میتواند از ریه به خون و سایر اعضا و ارگانها گسترش یابد و منجر به سپسیس (عفونت خون) شود. سپسیس یک وضعیت جدی و بحرانی است که ممکن است به عوارض جدی و حتی مرگ منجر شود.
5. عوارض قلبی: پنومونی در برخی از موارد میتواند به عوارض قلبی منجر شود. این شامل عوارضی مانند التهاب دریچههای قلب، ضعف قلبی و آریتمیهای قلبی میشود.
آزمایشات رایج برای ذات الریه یا پنومونی
برای تشخیص پنومونی، پزشک معمولاً از ترکیبی از علائم بالینی، تاریخچه پزشکی، ارزیابی جسمانی و آزمایشات تشخیصی استفاده میکند. در زیر، چند آزمایش و آزمون رایج برای تشخیص پنومونی ذکر شده است:
1. آزمایش خون: آزمایش خون میتواند نشانگرهایی از التهاب و عفونت در بدن را مشخص کند. این شامل اندازهگیری نسبی سفتی سفیدی (WBC)، سرعت ترسیب گلبولهای قرمز (ESR) و پروتئین C-reaktiv (CRP) است. افزایش در این شاخصها ممکن است نشاندهنده وجود التهاب و عفونت در بدن باشد.
2. آزمایش سیروم: اندازهگیری لیپاز سرمی (enzymes) مانند لاکتات دهیدروژناز (LDH) و آلانین آمینوترانسفراز (ALT) میتواند در تشخیص و بررسی شدت پنومونی مفید باشد.
3. آزمون رادیولوژی سینه: ایکس-ری سینه و سی تی اسکن ممکن است برای تشخیص تغییرات در ساختار ریهها مانند التهاب، خونریزی، تجمع مایع و وجود التهابات باکتریایی استفاده شود.
4. آزمون سیتولوژی سریع (Rapid Antigen Test): این آزمون معمولاً برای تشخیص سریع عفونت تنفسی ویروسی مانند ویروس کووید-۱۹ استفاده میشود. اگر نتیجه این آزمون مثبت باشد، ممکن است نشان دهنده وجود پنومونی ویروسی باشد.
5. آزمایش شریانی خون: اندازهگیری سطح اکسیژن و دیاکسیژن در خون با استفاده از آزمایش شریانی خون (ABG) میتواند نشان دهنده نقص تبادل گاز در ریهها و وجود پنومونی باشد.
مهم است بدانید که انجام هر آزمایشی بستگی به تشخیص پزشک دارد و این لیست تنها چند مثال از آزمایشات رایج است. همچنین، تشخیص نهایی و درست پنومونی توسط پزشک شما قرار خواهد گرفت. در صورتی که علائم پنومونی دارید یا نگران هستید، بهتر است به پزشک خود مراجعه کنید پزشک شما بر اساس علائم، تاریخچه پزشکی و بررسی جسمانی شما، تشخیص نهایی را قرار خواهند داد و بسته به شرایط، آزمایشات و آزمونهای مورد نیاز را تعیین خواهند کرد همچنین توصیه میشود به آزمایشگاه تشخیص طبی مناسب مراجعه کنید چرا که نتایج دقیق آزمایشات برای شما مهم است.
اقدامات مهم بعد از تشخیص ذات الریه سینه پهلو
برای تشخیص و ارزیابی مشکلات سینه و پهلو، پزشک ممکن است از تعدادی آزمایش و آزمون استفاده کند. در زیر، چند آزمایش و آزمون رایج برای ارزیابی سینه و پهلو ذکر شده است:
1. رادیولوژی سینه: این شامل فرآیندهای تصویربرداری مانند ایکس-ری سینه و ماموگرافی است. این آزمونها برای تشخیص تغییرات در بافت سینه مانند تومورها، نقاط تراکمی یا ضایعات دیگر استفاده میشوند.
2. تصویربرداری مقطعی (CT scan): CT scan یک روش تصویربرداری پیشرفته است که به وسیله آن تصاویر مقطعی از سینه و پهلو به دست میآید. این آزمون معمولاً برای بررسی جزئیات بیشتر در مورد تغییرات ساختاری و عفونتها استفاده میشود.
3. آزمایش توالی ژنومیک: این آزمایش برای تشخیص عوامل ژنتیکی که ممکن است به بروز بیماریهای سینه و پهلو مرتبط باشند، استفاده میشود. این آزمایش میتواند به تشخیص بیماریهای منتقله ژنتیکی مانند بیماری کیستیک فیبروزیس و آتاکسی تلیان مفید باشد.
4. آزمون عملکرد تنفسی: این آزمون برای ارزیابی عملکرد ریهها و تشخیص مشکلات تنفسی مانند آسم، بیماری مزمن انسدادی ریه (COPD) و فیبروز ریه استفاده میشود. این آزمون شامل اندازه گیری حجم و سرعت هوایی که به داخل و خارج ریه ها میرود، میشود.
5. آزمایش خون: آزمایش خون میتواند اطلاعات مفیدی در مورد وضعیت سلامت عمومی بدن و نشانگرهای التهابی مرتبط با بیماریهای سینه و پهلو فراهم کند.

حتماً باید توجه داشته باشید که نوع آزمایشها و آزمونهای مورد استفاده بستگی به نوع مشکلی که شما تجربه میکنید و تشخیص پزشک دارد. پزشک معالج شما میتواند بر اساس علائم، سابقه پزشکی و بررسی جسمانی شما، آزمونهای مورد نیاز رادریابد. بنابراین، همیشه مهم است با پزشک خود مشورت کنید و به توصیهها و دستورالعملهای او عمل کنید.
آیا ذات الریه میتواند به صورت واگیر باشد؟
بله، پنومونی به صورت واگیر یا عدواگرا انتقال پذیر است. بیماری پنومونی معمولاً از طریق انتقال قطرههای تنفسی که حاوی عوامل عفونی مثل باکتریها یا ویروسها هستند، منتقل میشود. این میتواند از طریق عطسه، سرفه، گفتار، تماس مستقیم با شخص مبتلا یا تماس با اشیاء آلوده به عوامل عفونی صورت گیرد.
عواملی که میتوانند پنومونی را واگیر کنند شامل باکتریها مانند Streptococcus pneumoniae، Haemophilus influenzae، Legionella pneumophila، و ویروسها مانند ویروس آنفلوانزا، ویروس تنفسی سینسیتیال (RSV) و کروناویروس جدید (SARS-CoV-2) میشوند.
برای پیشگیری از انتقال پنومونی، مهم است که به عملیات بهداشتی مناسبی مانند شستشوی دستها با آب و صابون، پوشیدن ماسک و حفظ فاصله اجتماعی توجه کنید. همچنین، تقویت سیستم ایمنی بدن از طریق واکسیناسیون، به ویژه در مورد واکسنهای ضد پنوموکوکال و آنفلوانزا، میتواند کمک کننده باشد.
روشهای درمانی برای پنومونی یا ذات الریه
درمان پنومونی بستگی به عامل عفونتی (باکتری، ویروس و غیره) و شدت بیماری دارد. درمان پنومونی معمولاً شامل موارد زیر است:
1. آنتیبیوتیکها: در صورتی که پنومونی باکتریایی باشد، معمولاً با استفاده از آنتیبیوتیکها درمان میشود. نوع و دوز دقیق آنتیبیوتیکها بستگی به نوع باکتری موجود و شدت عفونت دارد. استفاده صحیح و کامل از آنتیبیوتیکها برای کنترل عفونت بسیار مهم است.
2. آنتیویروسها: در صورتی که پنومونی ویروسی مانند پنومونی ناشی از ویروس آنفلوآنزا باشد، ممکن است آنتیویروسها در نظر گرفته شوند. این داروها میتوانند رشد ویروس را کنترل کنند و به بهبود بیماری کمک کنند.
3. ضد التهابها و ضد تبها: استفاده از داروهای ضد التهابی مانند استروئیدها و ضد تبها میتواند به کاهش التهاب و تب کمک کند و علائم را تسکین دهد.
4. مراقبتهای پشتیبانی: مراقبتهای پشتیبانی از جمله استراحت، مایعات بیشتر، مصرف غذاهای سالم و تغذیه مناسب، و مصرف مکمل اکسیژن در موارد لزوم، نقش مهمی در بهبود پنومونی ایفا میکنند.
5. واکسیناسیون: پیشگیری از برخی از نوعهای پنومونی با واکسیناسیون ممکن است کمک کند. واکسنهایی مثل واکسن پنوموکوک، واکسن آنفلوآنزا و واکسن کووید-۱۹ میتوانند در پیشگیری از برخی از عفونتهای پنومونی مؤثر باشند.
پیشگیری از ذات الریه یا سینه پهلو
برخی اقدامات پیشگیرانه میتوانند در کاهش خطر ابتلا به پنومونی کمک کنند. در ادامه، چند روش پیشگیری از پنومونی را بررسی میکنیم:
1. واکسیناسیون: واکسیناسیون میتواند در پیشگیری از برخی از عفونتهای پنومونی مؤثر باشد. واکسنهایی مانند واکسن پنوموکوک، واکسن آنفلوآنزا و واکسن کووید-۱۹ در برخی از گروهها از جمله افراد مسن، کودکان، و افراد با بیماریهای مزمن توصیه میشوند. مشاوره با پزشک خود در مورد واکسیناسیون مناسب برای شما بسیار مهم است.
2. شستشوی دست: شستشوی منظم و صحیح دستها با آب و صابون به طور مکرر میتواند کمک کند تا میکروبها و عوامل عفونتی از بین برود و انتقال آنها به دستگاه تنفسی کاهش یابد.
3. پرهیز از تماس با افراد مبتلا: در صورتی که شخصی در خانه یا در محیط کار شما به پنومونی مبتلا است، سعی کنید تا حد امکان از تماس نزدیک با او خودداری کنید تا خطر انتقال عفونت کاهش یابد.
4. قرنیزاسیون: در برخی از موارد، قرنیزاسیون (از جمله واکسیناسیون ناشی از قرنیه) میتواند در پیشگیری از نوعهای خاصی از پنومونی مانند پنومونی ناشی از میکوپلاسما کمک کند. در صورت نیاز، با پزشک خود در مورد قرنیزاسیون صحبت کنید.
5. رعایت بهداشت تنفسی: استفاده از ماسک صورت در مواقعی که در معرض عفونت قرار میگیرید، مثل بیماریهای تنفسی ویروسی، میتواند کمک کند تا انتقال عوامل عفونتی کاهش یابد.
6. تقویت سیستم ایمنی: مراقبت از سلامت عمومی خود، شامل تغذیه سالم، استراحت کافی، و ورزش منظم، میتواند به تقویت سیستم ایمنی بدن و کاهش خطر ابتلا به عفونتهای تنفسی از جمله پنومونی کمک کند.
مهم است که در مورد روشهای پیشگیری مناسب برای شما با پزشک خود مشورت کنید و راهنماییهای خاص پزشک خود را در نظر بگیرید. همچنین، اگر در معرض خطر بیشتری برای پنومونی هستید، مانند افراد مسن، کودکان کوچک، افراد با سیستم ایمنی ضعیف و افراد با بیماریهای مزمن، بهتر است با پزشک خود در مورد اقدامات پیشگیرانه خاص برای شما صحبت کنید.



بدون دیدگاه