بیماری سل به انگلیسی “Tuberculosis” یا به اختصار “TB” نامیده میشود. Tuberculosis یک بیماری عفونی است که توسط باکتری Mycobacterium tuberculosis ایجاد میشود. این باکتری معمولاً در ریهها رشد میکند اما میتواند به سایر اندامهای بدن نیز گسترش یابد.
بیماری سل یکی از شایعترین و مهمترین بیماریهای عفونی در سطح جهانی است. سازمان بهداشت جهانی (WHO) آن را به عنوان یکی از ده علت اصلی مرگ و میر در جهان طبقهبندی کرده است. همچنین اصطلاحات زیر نیز برای اشاره به بیماری سل استفاده کرد:
– TB (Tuberculosis)
– Pulmonary TB (سل ریوی)
– Extrapulmonary TB (سل خارج ریوی)
– Drug-resistant TB (سل مقاوم به دارو)
بیماری سل معمولاً از طریق هوا و قطرات تنفسی فرد مبتلا به دیگران منتقل میشود. درمان این بیماری شامل مصرف چند داروی ضدسل به مدت 6 تا 9 ماه است. واکسن BCG نیز برای پیشگیری از سل شدید در کودکان استفاده میشود. پیشرفت های چشمگیری در درمان و کنترل بیماری سل داشتهایم، اما این بیماری هنوز یکی از چالشهای بهداشت عمومی در بسیاری از کشورها بهویژه کشورهای در حال توسعه است.
علایم بیماری سل در بزرگسالان و کودکان
علایم بیماری سل در افراد مبتلا میتواند متفاوت باشد، اما برخی از شایعترین علایم سل عبارتند از:
- 1. سرفه مزمن: یکی از اصلیترین علایم سل ریوی است. سرفه ممکن است به مدت 3 هفته یا بیشتر ادامه داشته باشد.
- 2. خلط آلوده با خون (خونریزی از ریه): در برخی موارد، سرفه ممکن است همراه با خلط آلوده به خون باشد.
- 3. تب و لرز: بسیاری از بیماران مبتلا به سل دچار تب و لرز میشوند، به ویژه در شبها.
- 4. کاهش وزن و اشتها: بیماران مبتلا به سل اغلب دچار کاهش وزن و از دست دادن اشتها میشوند.
- 5. خستگی و ضعف: احساس خستگی مزمن و ضعف یکی دیگر از علایم رایج سل است.
- 6. دردهای قفسه سینه: برخی بیماران مبتلا به سل ریوی دچار دردهای قفسه سینه میشوند.
در موارد سل خارج ریوی، علایم میتواند متفاوت باشد و بستگی به موقعیت درگیری دارد. برای مثال، در سل مننژیتی میتوان شاهد سردرد، تب و تغییرات سطح هوشیاری باشیم.
همه چیز در مورد بیماری هپاتیت و آزمایش های رایج آن
آزمایش های رایج برای شناسایی بیماری سل
برای شناسایی بیماری سل، چندین آزمایش رایج وجود دارد که به طور معمول در کلینیکها و مراکز درمانی استفاده میشوند. برخی از این آزمایشات عبارتند از:
- 1. آزمایش پوستی منتو (Mantoux test):
– این آزمایش به بررسی واکنش پوست فرد نسبت به مواد تزریق شده میپردازد.
– مثبت شدن این آزمایش نشان دهنده وجود عفونت سل در فرد است. - 2. آزمایش خلط (Sputum test):
– در این آزمایش، نمونهای از خلط فرد مورد آزمایش قرار میگیرد.
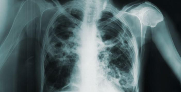
– وجود باکتری سل در خلط، تأیید کننده وجود بیماری سل است. - 3. رادیوگرافی ریه (Chest X-ray):
– این آزمایش تصویربرداری از قفسه سینه فرد را انجام میدهد.
– در این تصاویر، ضایعات و آسیبهای ریوی ناشی از سل قابل تشخیص هستند. - 4. آزمایش مولکولی (Molecular test):
– این آزمایشها مانند Xpert MTB/RIF به سرعت و دقت بالا میتوانند وجود باکتری سل را تأیید کنند.
– همچنین میتوانند به تشخیص سویههای مقاوم به دارو کمک کنند.
این آزمایشها در ترکیب با بررسی علائم بالینی و سابقه فرد به پزشکان کمک میکنند تا تشخیص دقیق بیماری سل را ارائه دهند و درمان مناسب را آغاز نمایند.
کدام آزمایش برای تشخیص سل مقاوم به دارو مناسبتر است؟
برای تشخیص سل مقاوم به دارو، آزمایشهای مولکولی مناسبتر و کارآمدتر هستند. به طور خاص:
- آزمایش Xpert MTB/RIF:
– این آزمایش مولکولی سریع و دقیق است که میتواند هم وجود باکتری سل و هم مقاومت به داروی ریفامپیسین را مشخص کند.
– نتایج این آزمایش در کمتر از 2 ساعت در دسترس میباشد.
– این آزمایش یکی از بهترین گزینهها برای تشخیص اولیه سل مقاوم به دارو است. - آزمایش تشخیص مولکولی خط اول (Line probe assay):
– این آزمایش میتواند علاوه بر تشخیص سل، مقاومت به سایر داروهای ضد سل مثل ایزونیازید را نیز شناسایی کند.
– این آزمایش دقیقتر و جامعتر از Xpert MTB/RIF است اما زمان بیشتری برای انجام آن نیاز است.
در مقایسه با آزمایشهای سنتی کشت و حساسیت دارویی، این آزمایشهای مولکولی سریعتر و دقیقتر هستند و به تشخیص سریع سل مقاوم به دارو کمک میکنند. بنابراین این آزمایشها جایگزین مناسبی برای تشخیص اولیه سل مقاوم به دارو محسوب میشوند.

خطرات بیماری سل چیست؟
سل میتواند پیامدهای جدی و خطرناکی داشته باشد. برخی از خطرات و عوارض بیماری سل عبارتند از:
- 1. مرگ و میر:
– سل یکی از 10 علت اصلی مرگ در جهان است.
– در صورت عدم درمان به موقع، بیماری سل میتواند کشنده باشد. - 2. عوارض ریوی:
– آسیب به ریهها و ایجاد بیماریهای ریوی مزمن مانند برونشکتازی و آمفیزم.
– خونریزی ریوی که میتواند منجر به مرگ شود. - 3. ناتوانی:
– بیماری سل میتواند به طور جدی توانایی فرد را برای انجام فعالیتهای روزانه محدود کند.
– این محدودیتها میتوانند به طور موقت یا دائمی باشند. - 4. انتقال به دیگران:
– افراد مبتلا به سل میتوانند بیماری را به افراد دیگر به ویژه در محیطهای شلوغ و بسته منتقل کنند.
– این امر باعث گسترش بیماری در جامعه میشود. - 5. مقاومت به درمان:
– بروز سویههای مقاوم به دارو یکی از چالشهای اصلی درمان سل است.
– درمان سل مقاوم به دارو بسیار دشوار و طولانیتر است.
بنابراین درمان سل به موقع و رعایت اصول پیشگیری نقش بسیار مهمی در کاهش خطرات این بیماری دارد.
آشنایی با بیماری ذات الریه یا پنومونی و راه های درمان سینه پهلو
عوامل محیطی و اجتماعی در افزایش خطر ابتلا به سل
عوامل محیطی و اجتماعی متعددی میتوانند خطر ابتلا به بیماری سل را افزایش دهند. برخی از این عوامل عبارتند از:
- 1. شرایط زندگی نامطلوب:
– شلوغی و تراکم جمعیت در مناطق فقیرنشین و محلههای حاشیهای شهرها
– فقر، بیخانمانی و سوء تغذیه - 2. عوامل مرتبط با محیط کار:
– کار در محیطهای بسته و شلوغ مثل زندانها، پرورشگاهها و بیمارستانها
– مشاغلی که با گرد و غبار زیاد همراه است مانند معادن - 3. رفتارهای پرخطر:
– اعتیاد به مواد مخدر
– مصرف سیگار
– مصرف الکل به میزان زیاد - 4. سیستم ایمنی ضعیف:
– ابتلا به بیماریهای تضعیفکننده ایمنی مانند HIV/AIDS
– دریافت داروهای سرکوبکننده سیستم ایمنی - 5. سن و جنسیت:
– کودکان و نوجوانان و همچنین افراد مسن در معرض خطر بیشتری هستند.
– مردان بیشتر از زنان در معرض خطر ابتلا به سل قرار دارند.
بنابراین بهبود شرایط زندگی و کار، آموزش و ارتقاء سلامت عمومی جامعه، و همچنین درمان بیماریهای زمینهای میتواند در کاهش خطر ابتلا به سل مؤثر باشد.
اقداماتی برای پیشگیری از انتقال بیماری سل و کنترل آن
برای پیشگیری از انتقال بیماری سل، اقدامات زیر توصیه میشود:
- 1. شناسایی و درمان به موقع موارد سل: افراد مبتلا به سل باید سریعاً شناسایی شده و تحت درمان قرار گیرند تا از انتقال بیماری به دیگران جلوگیری شود.
- 2. حفظ بهداشت تنفسی: افراد مبتلا باید هنگام سرفه و عطسه دهان و بینی خود را با دستمال بپوشانند تا از پراکنده شدن قطرات حاوی باکتری در هوا جلوگیری شود.
- 3. استفاده از ماسک: افراد مبتلا باید در هنگام حضور در اماکن عمومی یا نزدیک افراد در معرض خطر، ماسک استفاده کنند.
- 4. تهویه مناسب: فراهم کردن تهویه کافی در محیطهای بسته مانند بیمارستانها و مراکز درمانی برای کاهش انتقال بیماری.
- 5. واکسیناسیون: تزریق واکسن BCG به کودکان به عنوان یک اقدام پیشگیرانه مؤثر است.
- 6. بهبود وضعیت تغذیه و بهداشت: ارتقای وضعیت تغذیه و بهداشت عمومی میتواند به تقویت سیستم ایمنی افراد و کاهش خطر ابتلا کمک کند.
همکاری همگانی در اجرای این اقدامات میتواند نقش مهمی در کنترل و پیشگیری از بیماری سل داشته باشد.
داروهای رایج برای کنترل و درمان سل
برای درمان بیماری سل، معمولاً از رژیمهای دارویی چند دارویی استفاده میشود. داروهای رایج برای درمان سل عبارتند از:
1. ایزونیازید (INH): یکی از داروهای اصلی و پایه در درمان سل است که به طور معمول به عنوان بخشی از یک رژیم چند دارویی استفاده میشود.
2. ریفامپین (RIF): یک داروی ضد سل قوی که معمولاً همراه با ایزونیازید استفاده میشود.
3. پیرازینامید (PZA): این دارو به ویژه در درمان سل مقاوم به دارو مورد استفاده قرار میگیرد.
4. اتامبوتول (EMB): این دارو برای جلوگیری از مقاومت دارویی در طول درمان استفاده میشود.
5. استرپتومایسین (SM): یک آنتی بیوتیک تزریقی که در درمان سل مقاوم به دارو کاربرد دارد.
در درمان استاندارد سل فعال، معمولاً از رژیم چهار دارویی (INH + RIF + PZA + EMB) برای مدت 6 ماه استفاده میشود. در موارد عود یا مقاومت دارویی، ممکن است داروهای دیگر یا دورههای درمانی طولانیتر مورد نیاز باشند.
همچنین، در درمان سل نهفته (لاتنت) از رژیم تک دارویی ایزونیازید برای مدت 6-9 ماه استفاده میشود.
تکمیل کامل دوره درمانی و پایبندی به دستورات پزشک از اهمیت بسیار بالایی برخوردار است. درمان ناقص میتواند منجر به ایجاد مقاومت دارویی شود. همچنین انجام آزمایش های دوره ای در یک آزمایشگاه پیشرفته در کنترل دقیق این بیماری بسیارر مهم میباشد.
مشاوره در تبریز برای انجام آزمایش سل 0414148



بدون دیدگاه